News
Stay informed with recent news, press releases, and articles.
.png)
Synaptive Medical Secures Strategic Investment to Accelerate Growth and Innovation
MedTech leader emerges from restructuring with renewed momentum and an unwave...

Synaptive Medical to Test New Software for Brain Surgery Planning at Unity Health Toronto
Planning brain surgery is a delicate process that requires precision to avoid damaging surrounding brain tissue and to prevent post-surgery complications. Synaptive Medical, a leader in medical technology, is set to enhance this process by evaluating its new software called Modus Plan, at Unity Health Toronto’s St. Michael’s Hospital, with support from OBIO’s Life Sciences Critical Technologies & Commercialization (LSCTC) Centre of Excellence.

Listen to Synaptive President and Co-Founder on ‘Manufacturing the Future’ Podcast
Cameron shares invaluable leadership and entrepreneurial insights, reflecting on the journey of founding and growing Synaptive globally, how he leverages artificial intelligence to enhance surgical outcomes and streamline medical procedures, and the importance of data collection in improving patient care and surgical precision.

Synaptive Medical Receives FDA 510(k) Clearance for Near-Infrared Fluorescence Visualization, Expanding Application of Existing Robotic Exoscope
Synaptive Medical Inc., a global med tech and technology company solving surgical, imaging and data challenges, has received 510(k) clearance from the Food and Drug Administration (FDA) for its Near-Infrared fluorescence visualization module

New cohort study shows use of Synaptive’s robotic exoscope improves clinical outcomes in spine surgery
A new cohort study published in World Neurosurgery by the Neurosurgery Department at Medical University...

Synaptive’s Modus X Takes Center Stage in the latest issue of the Journal of Neurosurgery’s Neurosurgical Focus on exoscopes in neurosurgery.
January’s Journal of Neurosurgery (JNS) published a series of 17 videos that examine the application...

Synaptive Medical Introduces Cutting-Edge Modus X Robotic Exoscope in Europe with its First Imstallation at Azienda Ospedaliera Universitaria Federico ll in Naples, Italy
Synaptive Medical Introduces Cutting-Edge Modus X Robotic Exoscope in Europe with Its First Installation at Azienda Ospedaliera Universitaria Federico II in Naples, Italy

Synaptive Announces U.S. and Canadian Availability of Next-Generation Robotic-Exoscope, Modus X
Synaptive Medical Inc., a global medical technology innovator, announced today FDA registration for the next-generation of its robotic exoscope. Modus X is the highly anticipated fourth generation of Synaptive’s robotic exoscope, delivering a leap forward in optical performance and robotics to modernize operating rooms.

Synaptive launches free water correction feature to help surgeons look past water on the brain
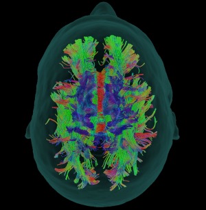
Synaptive Medical Inc. has introduced a free water correction feature to its Modus Plan software to restore tracts in areas surrounding brain lesions affected by edema and which interferes with automated mapping of the brain. Water from edema obscures retrieval of diffusion tensor imaging (DTI) data and tractography mapping used to evaluate white matter pathways in the brain.

Synaptive Medical Inc., Launches Dynamic Free Water Correction Feature to Enhance Planning and Navigation Technology
Synaptive Medical Inc., a leader in automated brain mapping and enriched patient data, announced the launch of Reveal today, a powerful new feature for its Modus™ Plan software. This patented feature applies free water correction to recover eloquent tracts in areas around brain lesions previously impacted by edema.

Life-Changing Surgery for a Toddler in Chronic Pain Due to Rare Pineal Cyst
What do you do for a child who won’t stop crying? As Kayla and Derek Fernandez discovered, sometimes brain surgery is the answer. A few weeks after their four-year-old Sophie was diagnosed with febrile seizures, six-month-old Giuliana also began showing signs of epilepsy. “Her eyes would roll back, and her pupils were extremely dilated,” said Kayla. “Derek was on the road a lot since he’d started working as a truck driver, after his job as a chef disappeared in COVID. So, I took a video and sent it to him and some other family members. But everyone said it was probably nothing.”

Synaptive Technology for Neurosurgery with Dr. Joseph Koen
Chesapeake Regional Healthcare features Dr. Joseph Koen, Medical Director of Neurosurgery and Co-Chief of Chesapeake Regional Neurosciences, highlighting the use of Modus Plan™ and Modus V™ in his surgical practice.

Veteran-Owned Company, in Partnership With Synaptive Medical, Awarded Medical Equipment ECAT Contract for Modus V™
Toronto, Canada [January 12, 2021] – Fidelis Sustainability Distribution, a veteran-owned company, has been awarded a Medical Equipment ECAT contract by the Defense Logistics Agency valued at $45,000,000 USD over 5 years. The ECAT contract is an online source (electronic catalog) for Robotic Assisted Surgery and other OR related products and acts as one of the preferred purchasing sources for the Department of Defense (DoD) and the Veterans Affairs (VA) healthcare system. Fidelis Sustainability Distribution works in conjunction with Synaptive Medical, a leader in robotics, to provide ECAT customers with Synaptive’s Modus V™, a groundbreaking robotic digital microscope.
.jpg)
MUSC features patient’s treatment with Modus V™
After experiencing a focal seizure, Stephen was diagnosed with a tumor on the left side of his temporal lobe. MUSC Shawn Jenkins Children’s Hospital pediatric neurosurgeon Ramin Eskandari used Synaptive’s robotic digital microscope, Modus V™, to assist in successfully performing Stephen’s operation. To learn more about Stephen’s story, watch here:
.jpg)
Futuristic Technology Maps the Brain and Transforms the Operating Room
The Medical University of South Carolina (MUSC) Catalyst highlights our five-year affiliation agreement that brought our 3D robotic digital microscope, Modus V™, and auto-segmentation tractography to MUSC Health and MUSC Children’s Health.
.png)
Synaptive’s First Inpatient Scans with Evry™
Our hospital partner, Nova Scotia Health’s Queen Elizabeth II Health Sciences Centre, has completed their first inpatient scans for stroke detection research with our 0.5 T MRI, Evry™.

AdventHealth Tampa features patient’s treatment with Modus V™
After experiencing intense headaches for a few months, Matthew was diagnosed with a brain tumor. AdventHealth Tampa neurosurgeon Dr. Raul Olivera used our robotic digital microscope, Modus V™, to perform a modified left pterional craniotomy.

Synaptive Medical Secures FDA Clearance for Evry™
Synaptive Medical, a leader in robotic surgical visualization, announced today the company has secured clearance from the Food and Drug Administration (FDA) for its superconducting, head magnetic resonance imaging (MRI) technology, Evry™.

Synaptive Medical Establishes Partnership with O-Two Medical Technologies, Inc., to Manufacture Ventilators for COVID-19 Patients
Synaptive Medical, a leader in robotic surgical and imaging technologies, announced today the company has established a partnership with O-Two Medical Technologies, Inc., a world leader in controlled ventilation, for the production of O-Two’s e700 portable transport ventilator for patients impacted worldwide by COVID-19.

Synaptive Medical Secures Health Canada Approval for Evry™
Synaptive Medical, a leader in robotic surgical visualization, announced today the company has secured approval from Health Canada for Evry™, the company’s superconducting, head MRI. Evry has been designed to provide imaging directly at the point of care in areas outside of diagnostic imaging departments, which was previously unachievable due to the size of conventional MRIs.

Synaptive Medical Announces Product Update to Flagship Surgical Technology, Modus V™, Automated Robotic Microscope
Synaptive Medical, a leader in robotic surgical visualization, announced today the U.S. and Canadian availability of updates to its flagship surgical technology product, Modus V, a fully automated robotic digital microscope designed to assist surgeons in the operating room for a seamless surgical workflow.

Synaptive Medical Announces Exhibition at Radiological Society of North America’s 2019 Scientific Assembly and Annual Meeting
Toronto, Canada [November 26, 2019] – Synaptive Medical, a leader in automation and robotics, announced today it will highlight its products EvryTM, Modus PlanTM and ImageDriveTM at the Radiological Society of North America’s (RSNA) 2019 Scientific Assembly and Annual Meeting, which will convene at McCormick Place in Chicago, IL, from December 1-6.

Global News Edmonton features Stollery Children’s Hospital patient’s treatment with Modus V™
Global News Edmonton speaks with Dr. Vivek Mehta – Divisional Director, Pediatric Neurosurgery, Stollery Children’s Hospital – about the use of Modus V™ during his 12-year-old patient’s spinal tumor removal surgery.

Synaptive Medical Launches Surgical Planning Tool Modus Plan™ with Added Automated Tractography Segmentation Capability
Automated whole-brain tractography and patient-specific bundles of interest to assist neurosurgeons during treatment

The Daily Mail features Mount Sinai Health System patient’s treatment with Modus V™
Dr. Costas Hadjipanayis – MD, PhD and Director of Neurosurgical Oncology for Mount Sinai Health System – and his patient, 19-year-old Christina Giuffrida

Synaptive Medical Presented Mid-Field MRI Safety Data for Medical Device Implants at the 57th American Society of Neuroradiology (ASNR) 2019 Annual Meeting
-0.5 T MRI system may make diagnostically conclusive scans safer for patients with metal implants

Synaptive Medical to Install World’s First Dedicated Head MRI to Assess Use in the Emergency Department
Nova Scotia to lead research into the potential healthcare impact of early access to emergency department Point-of-Care MRI

Robotic Technology Derived from International Space Station Used in Brain Tumor Surgery
North Shore University Hospital is the first center in tri-state area to use Synaptive’s Modus...

Synaptive Medical Expands Distribution of its Surgical Product Suite in Asia
Hospitals in Thailand and Vietnam Acquire Synaptive Medical Product Suite

Synaptive Medical Tech Featured in Sean Penn Sci-Fi TV Series
Synaptive’s surgical robotic arm moves from the operating room to outer space in Hollywood drama series “The First,” starring Sean Penn and Natascha McElhone

Covenant Health Brings Brain Mapping Technology to West Texas
Covenant Medical Center is the first medical facility in the region to provide technology that will allow for safer brain and spinal surgeries

California Children’s Hospital First in the World to Implement Synaptive Technology
Synaptive Medical’s Modus V™ and BrightMatter™ solution among technology selected for new surgical and intervention center As announced in a recent press release marking the opening of their new surgical and interventional center, Lucile Packard Children’s Hospital Stanford is the first pediatric hospital in the world to implement the use of Synaptive Medical’s Modus V™ and the BrightMatter™ technology suite.

World Renowned Academic Medical Center Acquires Synaptive’s Next-Generation Robotic System for Minimally Invasive Neurosurgery
Toronto, ON (July 16, 2018) – Synaptive Medical Inc., a Toronto-based medical technology company, today announced that Duke University Medical Center has acquired its connected neurosurgery system. Modus V™, the cornerstone of the company’s automated robotic and imaging technology, sets the new standard for visual accuracy during surgery and advances minimally invasive cranial and spine procedures.

CBS Pittsburgh features Allegheny General patient’s treatment with Modus V™
KDKA, a CBS affiliate TV station in Pittsburgh, has featured the use of Synaptive’s groundbreaking Modus V™ surgical robotic arm at Allegheny General Hospital on a patient who underwent awake brain surgery for the removal of a tumor.

WDIV-TV Detroit features Henry Ford patient’s treatment with Modus V™
Henry Ford Medical Center using Modus V™ and BrightMatter™ Plan and Guide Surgical and treatment advances made possible by Synaptive’s Modus V™ and BrightMatter™ technology were featured in a WDIV-TV Detroit story that profiled a local woman’s brain surgery at Henry Ford Medical Center.

Norfolk TV Station 13News Now Highlights Benefits of Modus V™
Bon Secours DePaul Medical Center using Modus V™ and BrightMatter™ Plan and Guide A Norfolk, VA television station, 13News Now, featured the arrival of Synaptive’s Modus V™ at Bon Secours DePaul Medical Center in a special report that aired May 30, 2018. The story highlighted how Synaptive’s technology may make neurosurgery at the hospital more accurate and potentially safer.

Robotically Controlled Digital Microscope Provides Neurosurgeons New Visualization System in Operating Room
New York (May 23, 2018) — The Department of Neurosurgery at the Mount Sinai Health System is one of the first hospitals in the country to use Modus V™, a hands-free, robotically controlled digital microscope that provides advanced visualization in the operating room. The system features a robotic arm with a high-definition camera that projects digital images of neuroanatomy on larger monitors. The system is an alternative to the traditional operating microscope, a mainstay in modern neurosurgery that features an ocular, or eyepiece, used by the surgeon to see magnified images of the brain.

News 4 New York features Mount Sinai patient’s treatment with Modus V
Dr. Costas Hadjipanayis performs hospital's first awake craniotomy with Modus V™ Surgical advances made possible...

Bon Secours Depaul Surgeons Using Next-Generation Robotic Technology For Minimally Invasive Brain And Spine Surgery
Toronto, ON and Norfolk, VA (April 30, 2018) – Synaptive Medical Inc., a Toronto-based medical...

Henry Ford Health System launches Modus V™
Revolutionary Neurosurgery Technology Adapted from International Space Station Detroit, MI (April 24, 2018)—Henry Ford Hospital...

Fox35 News spotlights Florida brain tumor patient treated with Modus V™
Fox35 News profiled a Florida man who was one of the first patients to be treated with Synaptive Medical’s Modus V™ at Florida Hospital Tampa.

Indiana TV features Synaptive’s BrightMatter™ technology
Parkview Regional Medical Center’s Dr. Jason Voorhies treats his elementary school teacher’s brain tumor Synaptive Medical’s BrightMatter™ technology was featured March 16, 2018, in a Fort Wayne, Indiana TV news story about a local woman who successfully had a brain tumor removed and made a quick recovery.

Optics.org interviews Synaptive’s Cameron Piron on optical point-of-care imaging
Cameron Piron, Synaptive Medical’s co-founder and president, was interviewed on the future of optics in the medical device and technology industry by Tim Hayes for Optics.org’s article, “Optical point-of-care imaging makes its impact in neurosurgery and beyond,” published March 7, 2018.

Synaptive’s Robotics Showcased in NASA Documentary
U.S. and Canadian Space Agencies explore space origins of Modus V™ “Benefits for Humanity: From Space to Surgery,” a NASA documentary published February 22, 2018, explores the space robotics origins of Synaptive Medical’s robotic digital microscopes, Modus V™ and BrightMatter™ Drive

Biotechnology Focus recognizes Synaptive’s Cameron Piron
Cameron Piron, co-founder and president of Synaptive Medical, was featured in Biotechnology Focus’ article, “The Top 5 Canadian CEOs who elevate their companies. Published on February 12, 2018, the article names Piron as an “industry-recognized leader and innovator in image-guided surgery.”

Tampa newscast features Synaptive tech at Florida Hospital Tampa
Synaptive Medical’s neurosurgery technology is helping surgeons in Tampa, Florida change the way patients are treated. Florida Hospital Tampa’s neurosurgery team, led by Dr. Raul Olivera, was recently featured discussing the technology in a FOX13 Tampa TV news report.

Allegheny General Hospital Neurosurgeons First in Pennsylvania to Use Groundbreaking Robotic Surgery System
Technology Derived from Equipment Used on International Space Station Advances Treatment of Cranial Disease Toronto, ON and Pittsburgh, PA (Jan. 17, 2018) — Synaptive Medical Inc., a Toronto-based medical technology company, announced today that neurosurgeons at Allegheny General Hospital, part of Allegheny Health Network (AHN), will be the first in Pennsylvania to use its latest generation robotic imaging technology for cranial and spinal procedures.

MUSC Surgeon Performs Rare Robotic Excision of a Pediatric Pineal Cyst in a Very Young Patient
The pineal gland lies deep in the center of the human brain and primarily participates in the endocrine system by secreting hormones such as melatonin to regulate reproductive function and the sleep-wake cycle. “We find incidental pineal cysts fairly often on CT (computed tomography) and MRI (magnetic resonance imaging) scans that are being done for some other reason,” says Infinger. “The great majority don’t cause any problems or symptoms. But this one was compressing the brain structures around it which is not typical of a benign pineal cyst.”

Florida Hospital Tampa Acquires Modus V™
Integrating new surgical robotics system with the BrightMatter™ platform allows neurosurgeons to perform surgery with an enhanced, high-definition view of the brain.

13ABC News Features Synaptive Technology at ProMedica Toledo Hospital
Synaptive Medical’s neurosurgery technology is helping surgeons in Toledo, Ohio, change the way patients are treated. ProMedica Toledo Hospital’s neurosurgical team, led by Dr. Kevin Reinard, was recently featured using the technology on three Toledo television outlets.

Adobe Highlights Synaptive Medical’s UX Process
The key role of user experience design (UX) in creating Synaptive’s groundbreaking Modus V™ technology has been featured on the Adobe Creative Cloud blog.

Phoenix TV Newscast Spotlights BrightMatter™ Plan at Abrazo Central Campus Hospital
Dr. Marco Marsella is first neurosurgeon in Arizona to use Synaptive’s surgical planning technology Synaptive Medical’s BrightMatter™ Plan is helping surgeons change the way patients are treated in Arizona. Abrazo Central Campus Hospital’s neurosurgical team, led by Dr. Marco Marsella, were recently featured in a Phoenix CBS 5 News story, “Phoenix neurosurgeon says cutting-edge brain mapping software is the future of neurosurgery.”
.png)
OBIO Shares Results of Pilot Launch of New Technologies That Help Manage Covid-19
June 1, 2021 – TORONTO, ON – While the race to eradicate Covid-19 continues, the Ontario Bioscience Innovation Organization (OBIO®), a not-for-profit organization dedicated to advancing health technology innovation and commercialization in Ontario, is sharing results of the pilot launch of its Early Adopter Health Network (EAHN) introduced last year. Four projects with novel technologies were adapted to address challenges with Covid-19, ranging from healthcare operations to disease/patient management to improvements in diagnosis or treatment.

Automation for the OR: Globe and Mail highlights Synaptive’s technology
“It was the stuff of science fiction not long ago, but surgeons around the world today are increasingly using robots and advanced optics to assist in complex surgery,” wrote Chris Atchison in the Globe and Mail‘s Report on Business in a feature story published on November 9, 2017.

Synaptive Medical Partners with Stryker’s Advanced Guidance Technologies Business
Companies announce co-marketing partnership for BrightMatter™ Plan at CNS

Synaptive Medical Reveals Automated White Matter Segmentation Feature for Modus™ Plan Surgical Planning Tool Currently Under Development
Automated whole brain tractography segmented into patient-specific bundles of interest for access within seconds for neurosurgery