The Daily Mail features Mount Sinai Health System patient’s treatment with Modus V™

Dr. Costas Hadjipanayis – MD, PhD and Director of Neurosurgical Oncology for Mount Sinai Health System – and his patient, 19-year-old Christina Giuffrida, spoke to the Daily Mail about her brain surgery where Modus V™ was a part of her treatment.
For years, Christina Giuffrida had been experiencing an on-again, off-again sore throat.
The 19-year-old from Yonkers, New York, also had slight balance issues and would struggle to hear people speaking at normal volumes.
One doctor told her and her parents, it was a problem with her eyesight. Another said it was a flare-up from a previous mononucleosis infection or allergies.
Finally, in March, after waking up with a particularly bad sore throat, Giuffrida went to the emergency room, where a doctor performed a CT scan of her throat and head.
It turned out the teenager didn't have allergies or a mono flare-up, but a benign tumor that was resting on the back of her brain and pressing on the nerves that controlled her swallowing, hearing and balance.
A neurological oncologist told Giuffrida he needed to perform surgery soon or, in a few years, she would be unable to talk, and could even end up paralyzed.


Christina Giuffrida, 19, from Yonkers, New York, had an on-and-off sore throat coupled with balance issues and hearing problems for years. She was given several reasons by different doctors including poor eyesight, allergies and a mono flare-up. Pictured: Giuffrida in the hospital following surgery

After one particularly bad sore throat, she went to the ER, where doctors performed a CT scan of her throat and head. Pictured, left and right: Scans of Giuffrida's cyst
Giuffrida said that she began suffering from migraines as a child. When her parents took her to the doctor, they were told she had poor eyesight and needed glasses.
'I was prescribed glasses in third grade,' she told DailyMail.com. 'That would help with the migraines but, after a while, they didn't really work.'
In the ninth grade, Giuffrida began experiencing allergy-like symptoms, particularly a sore throat.
Additionally, her parents noticed she was tilting to the right when she walked and had trouble hearing people speak at normal volumes.
'I was always asking people to speak up and saying: "I can't hear you",' Giuffrida said.
One morning, in March 2019, she woke up with her throat in a lot of pain and unable to swallow.
'I went to numerous doctors. First my primary care doctor, then I went to urgent care,' she said.
'I was told it could be a mono flare-up, or strep. That's what doctors were telling us and, you know, you believe doctors.'
She was ultimately diagnosed with an ear infection and prescribed ear drops but, after two days, her ear was itchier and in more pain than ever before.
At her mother's insistence, Giuffrida let her brother drive her to the ER, where the doctor on call took a CT scan of her throat and her head, and sent her home.
'The doctor called that night, and told me that I had a cyst on the back of my brain,' Giuffrida said.
Specifically, the teen had an epidermoid brain cyst, a benign brain tumor that forms in the early stages of a baby's development in the womb.
The cyst arises from the epithelial cells. which are meant to become hair, skin and nails.
The tumors are slow-growing, but can become quite large and wrap around the cranial nerves, which emerge directly from the brainstem.

In March, Giuffrida was diagnosed with an epidermoid brain cyst, a benign brain tumor. Pictured: Giuffrida's surgery scar

She met with Dr Constantinos Hadjipanayis, the director of neurosurgical oncology at Mount Sinai Health System in New York City, who told her they needed to remove the tumor or she could end up unable to speak or paralyzed in the future. Pictured: Giuffrida meeting with Dr Hadjipanayis before surgery
Symptoms include headaches, vision problems, speech problems, difficulty with balance and hearing loss.
The tumors can also press on the nerves that control swallowing and speaking, explaining the reason behind Giuffrida's sore throat.
However, they are very rare and make up just one percent of all intracranial brain tumors.
'Everyone was crying, screaming about it,' Giuffrida said. 'I was not freaking out because it was not cancerous. It wasn't worse than hearing it was cancer.'
After scheduling an appointment with an ENT, Giuffrida was referred to Dr Constantinos Hadjipanayis, the director of neurosurgical oncology at Mount Sinai Health System in New York City.
According to Dr Hadjipanayis, the tumors are mostly diagnosed in older people and can cause several problems if left untreated.
'You can lose hearing, have swallowing problems and even become paralyzed,' he told DailyMail.com.
Giuffrida added: 'He told me that, in a couple of more years, I wouldn't have been able to pick up anything, swallow or talk.'
On April 8, just one week after her clinic visit, the 19-year-old was scheduled for surgery.
The procedure begins by giving Giuffrida anesthesia and placing her on her side with her head in a frame and all her limbs securely attached to the operating table.
Then, an incision is made behind her left and surgeons drill down to the bone behind the ear to get to the area where the tumor is.
Dr Hadjipanayis used a system called Modus V, a robotically-controlled digital microscope made by the Canadian company Synaptive.
Traditionally, surgeons use an operating microscope and need eyepieces to see a single point in the surgical field. The eyepiece then needs to be moved to see the other critical structures in the brain.
But the Modus V has a lensing system on the end of a robotic arm. The lens projects the entire area the surgeon is working on onto a screen.
'By the robot doing the movement for the surgeon, it can save a significant amount of time,' Cameron Piron, the president and Chief Strategy Officer of Synaptive, told DailyMail.com.
'The time spent moving the microscope in the field can instead be used to progress the surgery.'
Dr Hadjipanayis said this helps not just surgeons, but patients too, so they suffer fewer complications and have a shorter recovery.
During a six-hour surgery, Dr Hadjipanayis resected 100 percent of Giuffrida's tumor.
'We were able to get it off of her hearing nerve, the nerves that control her face, and the nerves that allow her to swallow and speak,' he said.

During a six-hour surgery, Dr Hadjipanayis resected 100 percent of Giuffrida's tumor. Pictured: Giuffrida when she was discharged from the hospital

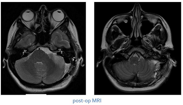
Giuffrida's swallowing and hearing improved, but she needed about a week of rehabilitation for her balance. Pictured: Scans of Giuffrida's brain after the operation
Giuffrida spent about two weeks in recovery, where improvements were seen almost immediately.
'My dad was whispering, talking to my boyfriend, and I was like: "Why are you yelling?"' she said.
'And he said: "I'm not. I'm whispering." I said: "No, you're yelling". He said: "No, that's just how good your hearing is now".'
Dr Hadjipanayis said Giuffrida's swallowing and hearing improved, but she needed about a week of rehabilitation for her balance.
She was discharged from the hospital on April 21, Easter Sunday.
Giuffrida said she hopes to encourage others to get checked if they're experiencing chronic headaches.
'Get an MRI, get a CT scan, it's very important to keep something like that on check,' she said.
'If something's there, at least you know. God knows where I would be in 20 years with this tumor if I hadn't gotten checked.'
